A Disfunção Temporomandibular (DTM) e o bruxismo podem causar dores na mandíbula, estalos, enxaquecas e até desgaste dos dentes.
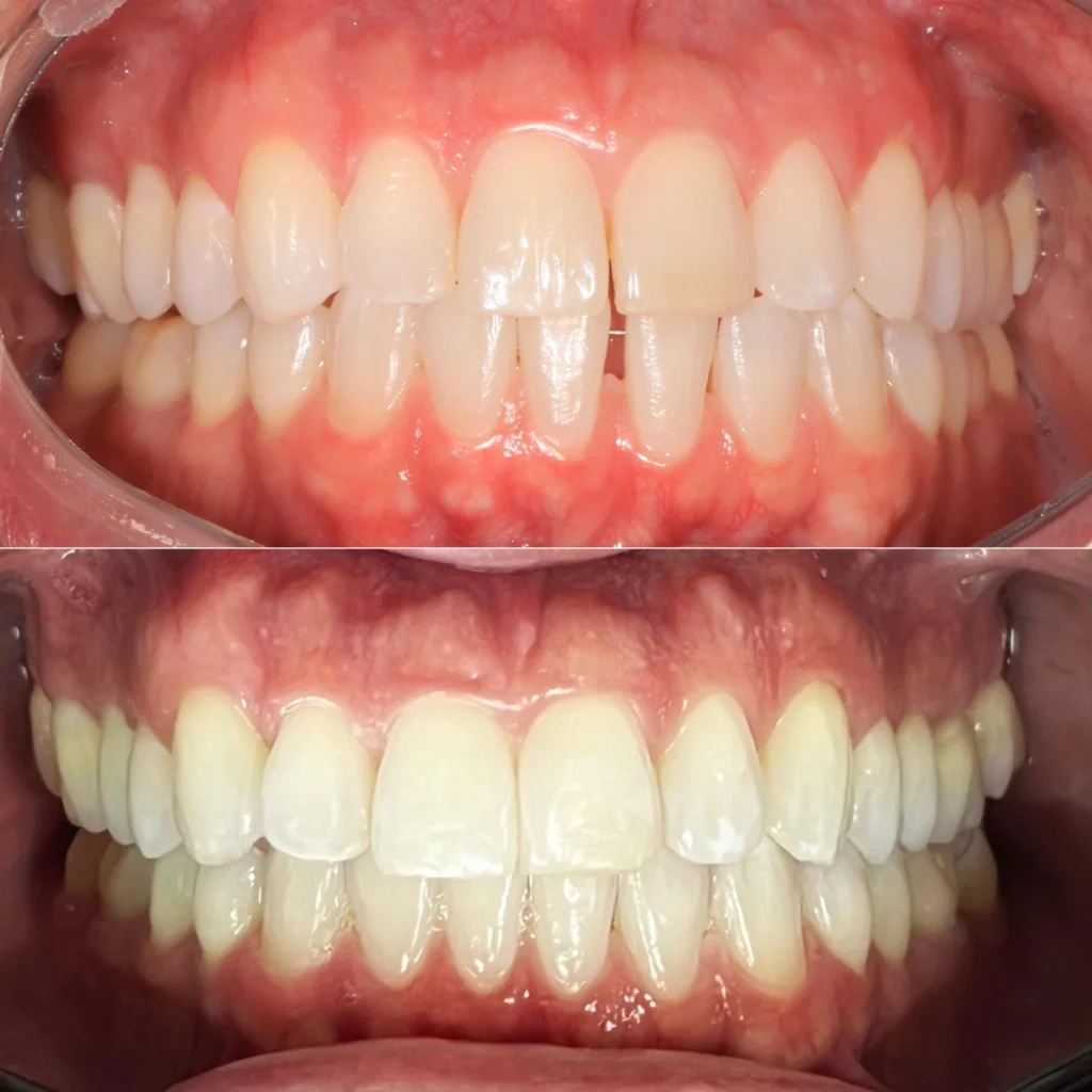
O clareamento dental é um procedimento seguro, eficaz e rápido para remover manchas e devolver o branco natural dos seus dentes.
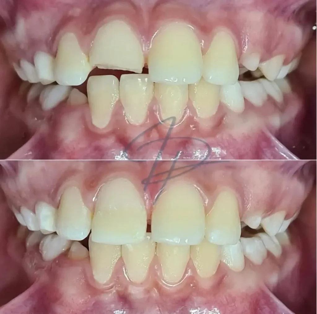
Corrija mordidas, dentes apinhados e desalinhados de forma discreta e confortável com Invisalign ou ClearCorrect.
A limpeza dental profissional remove placas bacterianas, tártaro e manchas superficiais, prevenindo cáries, gengivite e mau hálito.
A odontologia do esporte cuida da saúde bucal de atletas, prevenindo lesões orofaciais e melhorando o desempenho esportivo.
A odontologia clínica geral é essencial para a prevenção, diagnóstico e tratamento eficaz e seguro de diversos problemas bucais.
Na nossa clínica, cada atendimento é realizado com hora marcada, garantindo uma experiência tranquila e personalizada. Nosso objetivo é ouvir suas necessidades e oferecer um diagnóstico preciso, além de um plano de tratamento adequado ao seu caso.
A consulta inicial é crucial para o sucesso do tratamento. A Dra. Isadora realiza uma avaliação detalhada, conversando sobre sua rotina, hábitos, dores, qualidade do sono, alimentação e histórico de saúde. Também são feitos dois exames: o intraoral, que analisa os dentes e estruturas bucais, e o extraoral, que verifica os músculos e articulação para identificar possíveis disfunções.
Com essa abordagem completa e humanizada, buscamos garantir um tratamento eficaz. Cada consulta dura de 1h a 1h30, oferecendo tempo suficiente para um cuidado de excelência.
Agende sua avaliação e dê o primeiro passo para um sorriso saudável e uma vida sem dores!
A Dra. Isadora Moraes Mundim Prado, natural de Monte Carmelo, formou-se em Odontologia pela UFU, onde também concluiu seu mestrado com ênfase em Disfunção Temporomandibular (DTM), dor orofacial e ortodontia. Especialista no atendimento a pacientes com necessidades especiais, possui certificação em Tratamento de DTM pelo Instituto Ricardo Tanus.
Com 10 anos de experiência, é referência no Triângulo Mineiro no tratamento de DTM, bruxismo e dores orofaciais, além de atuar na área estética com clareamento, facetas e alinhadores invisíveis. Acredita na odontologia humanizada, priorizando o cuidado integral do paciente para um diagnóstico preciso e um tratamento eficaz.
Publicado em Jessica CastroTrustindex verifica se a fonte original da avaliação é Google. A Dra Isadora é uma excelente profissional em quem confio de olhos fechados. Qualidade e agilidade no atendimento.Publicado em Mio AdvocaciaTrustindex verifica se a fonte original da avaliação é Google. A Dra. Isadora é uma ótima profissional, muito competente e atenciosa, avaliou meu caso, me explicou tudo certinho e tem me ajudado muito com o tratamento, recomendo demais!Publicado em fernando rodriguesTrustindex verifica se a fonte original da avaliação é Google. Atendimento muito bom e tratamento bem rápido. Satisfeito com os resultados.Publicado em Beatriz Damaceno MagalhãesTrustindex verifica se a fonte original da avaliação é Google. Profissional incrível!! Resolveu meu problema de DTM, e fez duas plaquinhas novas. Super atenciosa e inteligente. Recomendo de olhos fechados!Publicado em Edgar CostaTrustindex verifica se a fonte original da avaliação é Google. Muito contente com o trabalho da doutora Isadora. Muito atenciosa, explicou a real necessidade de cada procedimento que realizei, além de um atendimento e conhecimento incrível do seu trabalho. Recomendo muito para quem está buscando um atendimento personalizado e acolhedor.Publicado em Rayjane TorresTrustindex verifica se a fonte original da avaliação é Google. Minha experiência com Dra. Isadora foi excelente, uma dentista muito competente, atenciosa, valor dos procedimentos justo, nós... meu marido e eu gostamos muito, muito mesmo. Não tenho palavras pra descrever e agradecer. Excelente trabalho. Excelente pessoa também.Publicado em Escola Municipal Terezinha Hueb de MenezesTrustindex verifica se a fonte original da avaliação é Google. Fiquei impressionado com o atendimento e o acompanhamento pós-tratamento. Meu bruxismo noturno ficou controlado e os problemas ortodônticos minimizados.Publicado em Tiago Santana AlvesTrustindex verifica se a fonte original da avaliação é Google. Excelente profissional.Publicado em maurien abrahaoTrustindex verifica se a fonte original da avaliação é Google. Eu estava com apertamento dental, bruxismo. A minha dentista Isadora fez uma placa miorrelaxante e sumiu as dores e estou dormindo bem melhor!!!Publicado em Ana Carolina Dias de OliveiraTrustindex verifica se a fonte original da avaliação é Google. Fiz uma restauração de um dente que havia quebrado, ficou simplesmente perfeito, parece que nunca quebrei de tão certinho que ficou! A Dra é uma profissional excelente e super atenciosa, de minha total confiança!
© Copyrights 2025 | Todos os direitos reservados